(五)疼痛影像诊断及CT导向下疼痛微创治疗
包括如三叉神经痛的影像诊断及介入治疗,带状疱疹后遗神经痛介入治疗,腰椎间盘突出症椎间孔镜髓核摘出术、胶原酶消融术、射频消融术等。
1.三叉神经MRI全程显像及CT引导下三叉神经痛微创治疗
通过磁共振对三叉神经痛患者三叉神经进行全程显像,清晰显示患者疼痛原因并进行针对性、个体化治疗,病因诊断明确、影像引导治疗精准,疗效显著。
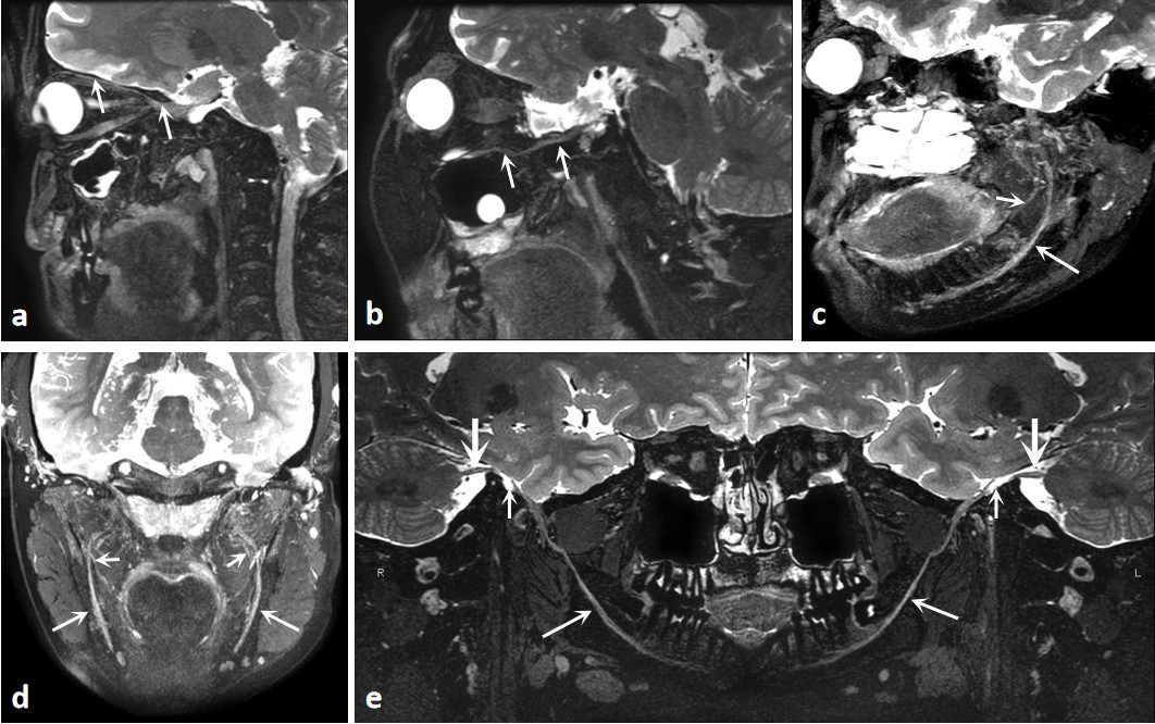
(1)正常三叉神经的MRI成像。

A 3D T2WI-CUBEfs重建图像显示了眼神经(箭头);B 3D T2WI-CUBE fs重建图像显示上颌神经(箭头);C,D 3D T2WI-CUBE fs重建图像显示了下颌神经,下牙槽神经(长箭头)和舌神经(短箭头)的分支;E 3D T2WI-CUBE fs重建图像显示了三叉神经下颌支的完整图像。
(2)三叉神经痛MRI诊断及介入微创治疗

43岁女性患者,左三叉神经下颌支支配区疼痛,VAS为8分。A,B 3D T2WI-CUBE fs重建图像显示,左三叉神经分支的下颌支的舌神经(短箭头)和下牙槽神经分支(长箭头)较右侧增粗,信号增高。 CCT图像显示蝶腭神经节阻滞。 治疗后,患者疼痛程度明显减轻,VAS评分降至2分。
2.椎间孔镜髓核摘除术:
经皮脊柱内窥镜技术下行腰椎间盘切除术,直视下应用不同的器械切除椎间盘突出致压物而解除神经根及硬膜囊的压迫来达到治疗目的。与开放手术相比,局部麻醉对全身各重要脏器无干扰,安全、创伤轻、出血少、恢复快、疗效可靠、并发症少、费用低。

椎间孔镜下显示椎间盘突出物,并行突出物摘除术,图3示摘除椎间盘髓核组织
3.椎间盘射频及胶原酶消融术:
通过穿刺针或射频针,利用射频电流通过毁损电极达到椎间盘髓核组织,或注入胶原酶,使髓核内的胶原蛋白分子收缩,髓核组织被气化萎缩,体积缩小,椎间盘内压降低,从而减轻了对周围神经的压迫,达到盘内减压,靶点消融之治疗目的。
微信公众号