是谁拯救了支气管结核的“半肺人”?竟是小小的它!

王女士,39岁,外院规律抗结核8个月后,出现活动后气促,咳嗽、咳痰加重入院。在继续抗结核的基础上、立即完善相关检查检验,寻找病因。
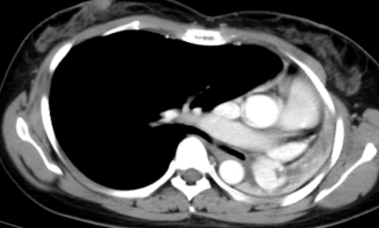
这不看不知道,一看吓一跳!胸部CT结果显示左肺完全不张,病人及家属emo了,“肺没了?”难道从此就要开启“半肺人”的下半生了吗?怎么办?


感染科医生说"目前抗结核疗程不足,可继续抗结核治疗;积极寻找肺不张原因”
外科医生说"该患者目前暂无手术指针”
呼吸科医生说"肺不张原因较多:肿瘤、炎症、结核、异物等均会导致气管狭窄,引起肺不张,我们建议下镜子,去气管看一下!
因此为了找到“半肺人”的幕后真凶,一场气管之旅就此拉开了序幕……
镜到之处,目之所及:左主支气管开口呈瘢痕样狭窄,远端支气管闭塞。难怪CT上只看到一边的肺,现在真相大白了!患者目前左肺开口处被肺瘢痕完全封堵,形同虚设,只有右肺可以用。
找到原因后,接下来就是治疗啦!
气管之旅第二站,Follow me!


图2 支气管镜下表现
完善各项检查,排除相关禁忌症,分三步对患者进行了高频电切+冷冻治疗+球囊扩张的支气管镜下介入治疗。
第一步:高频电刀切开,快速畅通气道!
第二步:冷冻治疗,减轻瘢痕增生!
第三步:球囊扩张,使管腔持续扩张,避免再狭窄!
哦耶!然后就是接下来的第2次和第3次的介入治疗!


图3 第1次治疗(高频电切+冷冻治疗+球囊扩张2021/9/10)
A. 高频电切 B.冷冻治疗 C.球囊扩张


图4 第2次治疗(冷冻治疗+球囊扩张2021/9/14)
A. 冷冻治疗 B. 球囊扩张


图5 第3次治疗(冷冻治疗+球囊扩张2021/9/23)
A. 冷冻治疗 B. 球囊扩张
以镜为器,镜之所指,心之所向。人镜合一,以行云流水炉火纯青之技,解病患者忧,吾辈谓之“镜英雄”!

图6 支气管镜下介入治疗
A.高频电切 B.冷冻治疗 C.球囊扩张
做了介入治疗,效果如何呢?
交作业的时间到了,来!擦亮眼睛看下图和下下图;
左支气管开口从最初的盲端闭合到4mm大小。患者的左肺“又回来了”,支气管镜帮助患者撕掉了“半肺人”的标签,获得了新生,可喜可贺!
1、治疗前:患者明显咳嗽咳痰,稍活动即感呼吸困难;治疗后:患者偶有咳嗽、咳痰,活动正常,犹获新生。
2、左肺支气管开口逐渐通畅(见图7)




A.治疗前(盲端闭合) B.第1次治疗(3mm)
C.第2次治疗(4mm) D.第3次治疗(4mm)
3、复查胸部X片提示左肺复张良好。(见图8)

图8 胸部X片在治疗前后的对比
A.治疗前左肺完全不张。
B.治疗后左肺大部分复张,左下肺节段性不张。
1、支气管镜检查是诊断支气管结核最具特异性的方法,镜下可协助我们诊断。
2、对于明确诊断肺结核而规范治疗中症状不缓解者,需要早期行支气管镜检查。
3、支气管结核瘢痕狭窄期,联合经支气管镜介入治疗,解除支气管阻塞是关键,支气管镜是气道结核诊断和治疗的必需设备。目前已广泛应用于气道结核的诊断和鉴别诊断,是支气管结核介入治疗的基石!
我院支气管镜室隶属于呼吸与危重医学科,自上世纪90年代开始做支气管镜检查,先后派出技术骨干到欧洲、北京、上海、广州等地进修,拥有一支技术娴熟,经验丰富的医护团队,每年完成支气管镜3000多人次。
科室拥有电子支气管镜、硬质支气管镜、荧光支气管镜、超声支气管镜、窄带成像支气管镜、内科胸腔镜、高频通气手术系统、爱尔博高频电外科工作站、爱尔博冷冻治疗仪等。
目前我科已开展常规支气管镜检查、经支气管镜粘膜活检术、支气管肺泡灌洗术、全肺灌洗术、经支气管镜针吸活检术(TBNA) 、支气管镜下异物取出术、支气管镜高频电治疗(高频电刀、圈套器)、中央气道肺癌的光动力治疗、支气管镜球囊扩张术、气道内支架置入术、支气管镜冷冻治疗、支气管镜氩气等离子体凝固治疗(APC) 、内科胸腔镜下胸膜活检术等。拟购置导航支气管镜等设备,更好地为人民健康保驾护航。

编辑 |杨冬梅
排版 | 林芳
审核 | 蒋莉



微信公众号