新闻中心

如果同时患有风心病、先心病,还有救吗?一次手术解决心脏七大问题

发布时间:2025.09.23 来源部门:心脏大血管外科 浏览量:1
字号:

近期,我心脏大血管外科通过“一站式”方式为一名重度恶病质心衰患者成功实施体外循环下二尖瓣整体修复、主动脉瓣置换、三尖瓣成形、射频消融、室间隔缺损修补、右室流出道疏通、左心耳闭合、左心房折叠成型术。

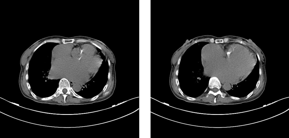
该患者为56岁中年女性,因反复胸闷胸痛、气促10+年,加重1月,2025819日到我院心血管内科住院治疗。入院后完善检查,提示:1.风湿性心脏病:二尖瓣中度狭窄伴重度关闭不全、主动脉瓣重度狭窄伴重度关闭不全、三尖瓣中度关闭不全;2.先天性心脏病:室间隔缺损、右室流出道狭窄;3.左心房及左心室显著扩大(左房舒末前后径:65mm,左房收末前后径54mm,心电图提示心房颤动,血液检验结果提示肝功能及胆红素明显升高,考虑肝淤血。为求进一步治疗,患者于829日转入心脏大血管外科,给予积极抗心衰、营养支持等治疗919心脏大血管外科主任赖应龙带领向军博士、彭泰峦医生等人在手术中心主任涂发平及医护团队配合下成功为患者实施了八种手术,术后患者安全返回心脏大血管外科重症监护室。术毕食道超声提示:二尖瓣仅残留少量关闭不全外,其余所有心脏问题全部解决,心律转为窦性心律。患者于术后2小时苏醒,成功撤离呼吸机,于术后10小时开始进食,目前已下床活动。

 心影明显增大

主动脉瓣及瓣环明显钙化

术前二尖瓣、主动脉瓣情况

术后主动脉瓣、二尖瓣情况

该患者病程时间较长,心衰严重,无法正常饮食,夜间完全无法平卧休息,院外长期营养不良,基础情况极差,身体重度衰弱,体重仅有38kg呈恶病质表现。面对如此严重的病情,赖应龙教授带领团队进行了详细的术前讨论,针对术中术后可能出现的情况做出周密预案。最终赖应龙教授决定将瓣膜整体修复、射频消融、先心病矫治同期实施,彻底解决了患者的后顾之忧,在达到最佳治疗效果的同时,更大程度地改善了预后效果,提高了后期生活质量,同时也缩短患者的住院时间,并且大大节省了患者的住院费用。该手术的成功实施不仅仅代表了心脏大血管外科在处理复杂心脏疾病方面的技术实力,更是科室不断追求技术创新、致力提升服务质量的成果,真正体现了以患者为中心的医疗服务理念。

科室简介:

心脏大血管外科前身为川北医学院附属医院心胸外科,始建于1982年,是省内成立最早的心胸外科之一。20世纪80年代即在区域内率先独立开展各类先天性心脏病矫治术和心脏瓣膜置换术,90年代开展冠状动脉搭桥术、大血管手术。经过40余年的发展,现常规开展各类心脏及大血管手术,年手术量700余台,每年接收川东北地区及邻近省市医院转诊的疑难危重患者,多项特色技术填补川东北地区及四川省内相关领域空白,技术力量位于省内先进、区域内领先。尤其是风心病二尖瓣整体修复术在国内处于领先水平,微创经胸骨上段小切口A型主动脉夹层孙氏手术达到国内先进水平,并实现与国内著名心脏中心同质化发展。2022年获批四川省医学重点专科。

心脏大血管外科拥有一支高学历、高素质、与时俱进、追求卓越的专业人才队伍。现有医生14人,其中教授2人、硕士生导师2人、博士4人(在读2人)、硕士9人、留学归国人员1人。拥有独立的心脏重症监护病床8张,是集临床、教学、科研为一体的高水平学术型科室。

 

 

作者:彭泰峦 图片:彭泰峦 审核:赖应龙 文章来源:心脏大血管外科

扫一扫,手机端浏览

预约挂号 门诊排班 院内导航 满意度调查 微信公众号
微信公众号
院史馆线上云展馆