(一)全身各部位占位病变CT/MRI导向下穿刺活检术
发布时间:2021.06.02
来源部门:放射科
浏览量:1
字号:
包括肺、肝、肾、淋巴结、软组织肿块、骨穿刺活检术等多种穿刺活检术,CT、MRI引导穿刺精准,磁共振引导无辐射。
适应症:各部位结节、肿块、其它病变,需明确病理性质、确定良恶性、寻找微生物证据。
禁忌症:严重出血倾向,出血、凝血机制障碍者、严重肺心病、穿刺路径上有大血管及重要脏器无法避开、病人各种原因无法配合等。
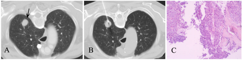
(1)CT引导下肺穿刺活检

图A显示右肺上叶类圆形小结节(箭头),性质难定;图B:在CT引导下行穿刺活检;图C:病理结果证实为小细胞肺癌。
(2)磁共振引导下肝穿刺活检

磁共振T1WI(图A)、T2WI(图D)肝内未见明显病变,增强扫描动脉期(图B)病灶明显强化(红色粗箭),延迟期(图C)造影剂洗脱(红色粗箭);在磁共振引导下行穿刺活检(图E),穿刺针显示为低信号(红色细箭),无伪影;(图F)病理报告:穿刺组织倾向肝腺瘤。
微信公众号