我院介入医学中心成功为一名96岁老年患者实施CT引导下纵隔巨大囊肿穿刺引流、硬化治疗
近日,我院老年科接诊了一名96岁高龄的危重症老年患者,该患者因呼吸困难、心累气短、伴咳嗽咳痰入院,且之前多次因“冠心病、不稳定性心绞痛、高血压3级、AECOPD、肺心病、纵隔囊肿”于我院住院治疗。
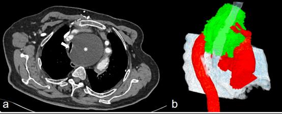
患者此次呼吸困难症状较重,入院后完善胸部CT增强扫描显示患者上纵隔一巨大囊性占位,严重挤压、推移了临近的气管、食管、大血管等结构。气管最窄处直径仅为3毫米(图1);且因食管同时受压,也导致患者出现了吞咽困难,严重影响患者的生命健康和生活质量。

(图1a.术前CT增强扫描;图1b.术前CT三维重建。白箭所示为明显狭窄的主支气管。)
面对这种情况,老年科刘黎明主治医师组织多学科会诊,共同研究治疗方案。在多学科会诊中,各科医生全面评估了患者的病情,拟定合理的治疗方案。因患者纵隔囊肿位置深,被周围大血管、气管、食管等重要结构包绕,外科手术难度大,且患者年龄较大,全麻风险大。为了在最小的风险下为患者解除病痛,经过深入讨论和分析,大家一致认为CT引导下囊肿穿刺引流+硬化治疗是最为合适的治疗方法。这种微创手术仅需要对老人实施局部麻醉,避免了全麻手术的风险;且CT引导下穿刺引流手术创伤小、恢复快,能够在微创的前提下用最短的时间内缓解患者的症状并提高生活质量。
11月3日,患者坐轮椅进入了CT介入手术室,在介入医学中心主任徐晓雪教授的指导下,由介入医学中心副主任李兵副主任医师、余枭漩医师进行手术。在CT精确引导下,穿刺至囊肿内,并放置引流管,引流囊液,随着囊液的引出,患者明显感受到呼吸困难逐步缓解。为了防止囊肿复发,在囊液完全引出后进行了囊肿硬化治疗。术后CT复查显示患者受压气管复位、狭窄解除,管腔宽度恢复。手术全程仅用40分钟,使用局部麻醉,患者生命体征全程监控,手术过程中老人家意识清醒、生命体征平稳。近日老人已顺利出院,呼吸困难及吞咽困难明显缓解,生活质量显著提高,老人家及家属对治疗效果极为满意。

(李兵副主任医师、余枭漩医师正在为患者实施手术。为避免囊肿快速缩小,支气管、血管快速复位引起患者咳嗽、血压波动等症状,采用囊液自引流方式缓慢引出囊液,减轻患者不适。)

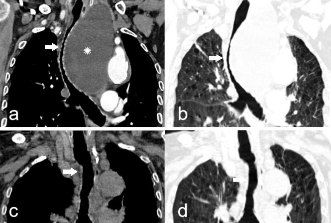
(术前、术后CT对比:术前主支气管明显受压变形、变窄(图a、图b)。术后气管复位,管腔恢复正常(图c、图d)。白色箭头所示为主支气管。)

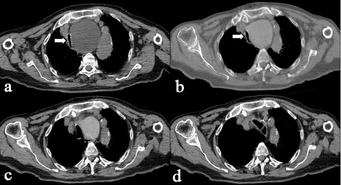
(术中CT扫描:图a、b、c、d显示不同时间相同层面囊肿情况,可见囊肿逐步缩小,主支气管逐步复位、直径增宽。囊肿内高密度为注入的造影剂。)
这一成功手术案例不仅体现了我院微创介入治疗技术实力和经验,也证明了高龄并不是手术的绝对禁忌症。我院将继续秉承“以人为本”的服务理念,不断提高医疗技术和服务质量。
川北医学院附属医院介入医学中心,开创西南地区多项先例
川北医学院附属医院放射介入室创建于上世纪90年代,是省内较早开展非血管介入的单位之一。经过数十年的积累与沉淀,2020年医院开设独立介入病房,并开展MRI介入,完成了西南地区首例磁共振引导下肝肿瘤微波消融治疗,至此医院介入平台成为集放射介入、CT介入、磁共振介入、介入门诊、独立病房五位一体的综合介入平台。
2021年医院介入医学中心牵头成立了川北影像介入专科联盟,辐射川渝两地,影响深远。2022年底,依托医院影像介入基础,成功入选国家放射与治疗(介入)临床医学研究中心核心单位,标志着医院介入医学诊疗正式进入国家队行列。

微信公众号