消化内镜中心
一、开展工作
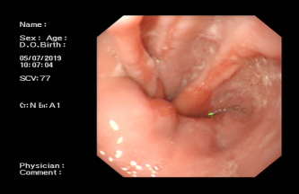
①胃镜
正常十二指肠

正常胃体

正常胃角

正常食管

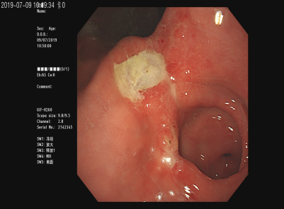
反流性食管炎

霉菌性食管炎

食管CA

胃角溃疡

胃镜检查术,俗称胃镜,是目前诊断上消化道(食管、胃、十二指肠)疾病最好的方法,对病变的观察清晰度优于任何其它影像技术,同时能对病变进行活体组织检查获得病理学诊断,并对早期上消化道癌、出血、狭窄、息肉等各种病变进行内镜下微创治疗术。我院消化内镜是省内开展胃镜及镜下微创治疗较早的单位,拥有最完善、最先进的内镜操作系统,每年完成胃镜诊治3万多例次。胃镜检查术简单、安全性好。大部分上消化道癌发现已经中晚期,因为多数早期消化道癌没有独特的表现,只有通过胃镜检查才能得到确切的早期诊断。50%早期消化道癌能够在胃镜下行局部病灶切除术(EMR、ESD),术后生存率可达90%。
胃镜适应症
1、有上消化道症状需检查确诊; 2、不明原因上消化道出血;3、怀疑上消化道肿瘤者4、需要随诊如溃疡病、息肉病、菱缩性胃炎等5、需胃镜下微创手术如狭窄扩张、早癌切除等。
胃镜禁忌症
1、严重心肺功能不全者; 2、消化道大出血生命体征不稳者3、怀疑有消化道穿孔4、腐蚀性食管炎急性期;5、精神不正常不能配合者。
早期胃癌能够内镜下切除!
②结肠镜
结肠镜可以观察包括直肠、乙状结肠、降结肠、 横结肠、升结肠、盲肠至回肠末端的肠道黏膜,主要用于诊断结、直肠炎症,良性肿瘤,息肉,憩室等疾病
适应症
1、原因不明的下消化道出血,包括便血和持续性便潜血阳性。
2、存在下消化道症状,如腹痛、腹泻、便秘、腹部包块、大便习惯改变等可疑结直肠疾病。
3、钡剂灌肠或影像学检查发现可疑病变不能定性。
4、炎症性肠病做鉴别诊断或需要确定病变范围、严重程度等以及治疗后的复查。
5、结直肠肿瘤术后或结直肠息肉切除术后的定期随访
禁忌症
除胃镜检查的禁忌症外,还包括肠梗阻、中毒性巨 结肠、对肠道清洁剂成分过敏等情况。
③无痛胃肠镜
所谓无痛胃肠镜检查,也就是麻醉胃肠镜,使用一种安全高效的镇静催眠药物,使患者在5-10分钟内进入浅睡眠状态,全身放松后再进行胃肠镜检查,几乎感觉不到任何不适,检查完成后,很快清醒,在休息一段时间后即可离院回家。
无痛胃肠镜的适应症和普通胃肠镜检查基本相似,对于那些恐惧胃肠镜检查的患者,无疑是一个福音
相比于普通胃肠镜,它具有以下优点∶
无痛胃肠镜检查因患者处于睡眠状态,能很好的配合检查,使医生检查时间缩短,更容易到达敏感部位,有利于病情的诊断和治疗。无痛胃镜特别适合精神极度紧张恐惧者、对疼痛刺激特别敏感者、老年人、不能自主配合检查的小儿患者。
④胶囊内镜
胶囊内镜检查过程
胶囊内镜检查只需三个简单的步骤 , 即可完成检查:吞服胶囊,拍摄记录,回放观察。
胶囊内镜通过采集、储存、回放全小肠粘膜彩色图像,能够直接观察全小肠粘膜,敏感性高,是目前唯—的无 创、可视的全小肠检查手段。适用于各个年龄层次的患者,尤其是合并心、肺、脑、肾等 多 脏器疾病的患者,以及难以耐受内镜及其他有创检查的老年患者。
间质瘤

克罗恩病变

息肉样病变

血管瘤

原发性腺癌

脂肪瘤

主要适应症
胶囊内镜主要适用于不明原因的腹痛、腹泻、消化道出血、小肠肿瘤、克罗恩氏病等小肠疾病的诊断。本检查适用于:
1、不明原因消化道出血2、不明原因缺铁性贫血3、小肠肿瘤(良性、恶性及类癌等)4、无法解释的腹痛、腹泻5、各种炎性肠病6、其他检查提示的小肠影像学异常
禁忌症
吞咽梗阻、肠梗阻及怀疑肠狭窄者
胶囊内镜四大特点
【扩展视野】全小肠段彩色图像拍摄,突破小肠检查的盲区.提高小肠疾病的诊断检出率
【操作简便】告别繁琐的操作,患者吞服胶囊后,胶囊在人体消化道内经过的腔段连续拍照,并以数字信号无线传输给体外携带的图像记录仪,医生只需回放胶囊拍摄到的图像资料即可对疾病做出诊断。
【安全卫生】胶囊为—次性使用,有效避免交叉感染。
【舒适自如】只需吞服—颗胶囊,检查过程无痛无创,无导线,无需麻醉,不耽误正常工作和生活。
⑤ESD

随着内镜微创技术的发展,越来越多的早期消化道癌、癌前病变及胃肠黏膜下疾病可完全在内镜下予以切除,免除了更大的手术创伤,这就是内镜黏膜下剥离术ESD(endoscopic submucosal dissecfion)
该治疗具有不改变消化道解剖结构、不开刀、体表无创口、创伤、出血少、恢复快等优势,是近年来国际、国内最新兴起的内窥镜下微创治疗手段之一,适用于食管、胃、十二指肠等上消化道及结、直肠的黏膜下良性肿瘤、黏膜的早期癌变以及具有癌变倾向病变的切除治疗。因其特殊的微创优势,得到广大医生及患者的推崇,是消化道黏膜及黏膜下病变治疗的新兴发展趋势。我中心已经开展该项技术,技术成熟,并还开展了经口内镜下肌切开术POEM、内镜经粘膜下隧道肿瘤切除术STER、粘膜下隧道内镜剥离术ESTD,术后病人随访,恢复良好。
Ⅰ、ESD的治疗效果如何?
ESD治疗胃早癌可实现较高的整块切除率(92%~97%)和完整切除率(73.6%~94.7%),5年总生存率和5年疾病生存率分别为96.2%~97.1%和100%。
Ⅱ、出院注意事项
1.患者注意饮食卫生和饮食规律,少食多餐。食物选择易消化,高营养,富含铁、钙,维生素的食物,禁食油炸、硬、生冷及辛辣刺激性食物。
2.生活起居规律,劳逸结合。注意缓解压力,保持良好心态,避免劳累,戒烟酒。
3、遵医嘱用药,慎用或勿用 胃粘膜刺激性药物。
4、遵医嘱定期随访
Ⅲ、POEM治疗贲门失弛缓症

Ⅳ、ESTD治疗多灶性复发型食管早癌

Ⅴ、ESTD治疗超低位大面积直肠早癌

Ⅵ、STER治疗食管固有肌层肿瘤

⑥ERCP

内镜下逆行胰胆管造影术(ERCP)指在内镜下经十二指肠乳头插管注入造影剂,做胆胰管X线造影胆汁细菌学和细胞学、胆道压力及乳头括约肌功能测定等检查,是公认的诊断胰胆管疾病的金标准。在ERCP的基础上可作十二指肠乳头括约肌切开术 、胆胰管碎石取石术 、胆胰管内支架安置引流术 、 鼻胆引流术及胆道蛔虫取出术等治疗。我院消化内科开展ERCP、EST等内镜 微创技术多年,至今已经完成多例胆道结石、蛔 虫、肿瘤、先天异常等疾病的的内镜诊疗,取得很好效果。
ERCP提示胆总管结石

切开乳头

取出结石

支架引流术

【内镜下十二指肠乳头括约肌切开取石术(EST)】
胆总管结石可引起急性化脓性胆管炎和急性胰腺炎,一旦诱发重症胆管炎或重症胰腺炎,死亡率很高,因此,该病应及时尽早治疗。胆总管结石的治疗方式很多,但以不开刀方式通过内镜经口腔进行取石—EST是目前最好的治疗方法。
内镜下胰胆管扩张术及支架置入术□
主要治疗胆道良恶性疾病所致的胆道梗阻,因其对病人要求低、创 伤小、操作简便、疗效好,已在临床上厂泛应用。
EST适应症定
1、胆总管结石
2.胆囊结石合并胆总管结石者,先行EST,再行腹腔镜胆囊切除术。
3、胆总管下端良性接窄
4.胆道蛔虫症
5、胆道吻合术后胆总管盲端综合症
6、急性梗阻性化脓性胆管炎,引流困难者
7、急性胆源性胰腺炎
8、壶腹周围肿瘤,EST及内置管引流
9、oddi括约肌功能障碍
EST优点
1、不需麻醉,开腹;
2、为微创治疗,痛苦小,恢复快;
3、不破环正常生理功能,保持了胆道系统完整性;
4、治愈率高,95%以上可获得治愈。
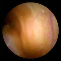
⑦超声胃镜
EUS是将微型高频超声探头安置在内镜前端,在内镜直视观察腔内形态的同时,又可进行实时超声扫描近距离探查,使靶器官的结构与图像更为清楚,为临床治疗方案的选择提供了有力的支持。我院消化内镜于2004年在四川省率先开展EUS新技术,目前拥有国内最新—代的EUS系统,它集超声内镜主机、高频小探头、三维超声探头、环扫内镜超声等 先进设备为—体。我院EUS诊疗组,现有教授1名、副教授2名,每年完成近千例消化道EUS诊疗,EUS诊疗技术达到省内先进水平。
正常食道

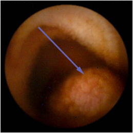
食道平滑肌瘤

食道粘膜肌层平滑肌瘤

异位胰腺

脂肪瘤

间质瘤

胰头癌

胆总管结石

为什么需要EUS
普通内镜检查只能发现消化道表面的病灶,通过EUS显示消化管壁层次结构及周围脏器病变,能更准确判断胃肠隆起病变的 性质、来源、肿瘤的浸润深度,还能取活检,指导确定治疗方案及判断疗效。
EUS适应症
1、消化道肿瘤的诊断,术前分期、术后随访
2、判断粘膜下肿瘤的起源与性质
3、胰腺与胆道疾病的诊断与鉴别
4、食管胃底静脉曲张的诊断与疗效判断
5、溃疡性病变良恶性的判断
6、各种需要EUS介入治疗的疾病
EUS诊疗新技术
1、超声内镜引导下胰腺病灶细针穿刺抽吸术(EUS-FNA)
2、EUS引导下放射性粒子植入术
3、EUS引导下射频治疗中晚期胰腺癌;
4、EUS引导下腹腔神经节阻滞术
5、EUS 引导下胰腺囊肿、脓肿穿刺置管引流术
⑧静脉套扎及组织胶注射
肝硬化食管静脉曲张一旦破裂往往造成致命的大出血。内镜下食管静脉曲张套扎术(EVL)是对食管下段曲张静脉逐一结扎,使其缺血狭窄、静脉闭塞,增加静脉周围纤维覆盖,从而使曲张静脉消失,达到止血和预防再出血。
食管静脉曲张

食管静脉破裂出血

食管静脉曲张套扎进行中

食管静脉曲张套扎进行中近观

食管静脉曲张套扎恢复后

正常胃底

胃底静脉曲张

组织胶注射

组织胶注射后

EVL是抢救食管静脉曲张破裂大出血、预防再出血的首选方法,该技术具有快捷、简单、并发症少、疗效高的特点 。EVL是治疗食管静脉曲张的一种新技术和新方法,我院消化内科开展EVL 1O年,多位教授具有丰富临床经验,每年救治了无数肝硬化食管胃底静脉曲张破裂大出血患者生命。
食管曲张静脉的自然病程
肝硬化患者每年有5%-15%发展为食管静脉曲张,静脉曲张一旦出现每年增长4%-10%,三分之一静脉曲张患者发出曲张脉破裂出血,每次破裂出血导致20%-30%的患者死亡,未行治疗的曲张静脉破裂出血患者,首次出血后1年内死亡率达70%。
EVL适应症
1、食管静脉曲张破裂出血治疗
2、外科分流、断流术后或脾切除术后食管静脉曲张再发及出血者
3、重度食管静脉曲张,既往有破裂出血史,行预防再出血治疗
注意事项
1、饮食:术后暂禁食48-72小时左右,从流食慢慢过渡到软食
2、休息:术后卧床3日,出院后不得劳累
3、服药:遵医嘱坚持服用降低门静脉压力药物;
4、禁止:饮酒及服用NSAIDS药物,避免损肝药物.
随访∶遵医吸消化内科门诊定期随访
微信公众号