“小”支架解决“大”囊肿:南充首例EUS引导下胰腺假性囊肿/包裹性坏死穿刺引流术成功开展
近日,我院消化内科成功完成南充市首例超声内镜(EUS)引导下胰腺假性囊肿穿刺引流术,以微创方式为一名患者解除“心腹大患”,标志着我院内镜技术迈向新高地。
病情回顾:年轻患者的“棘手难题”
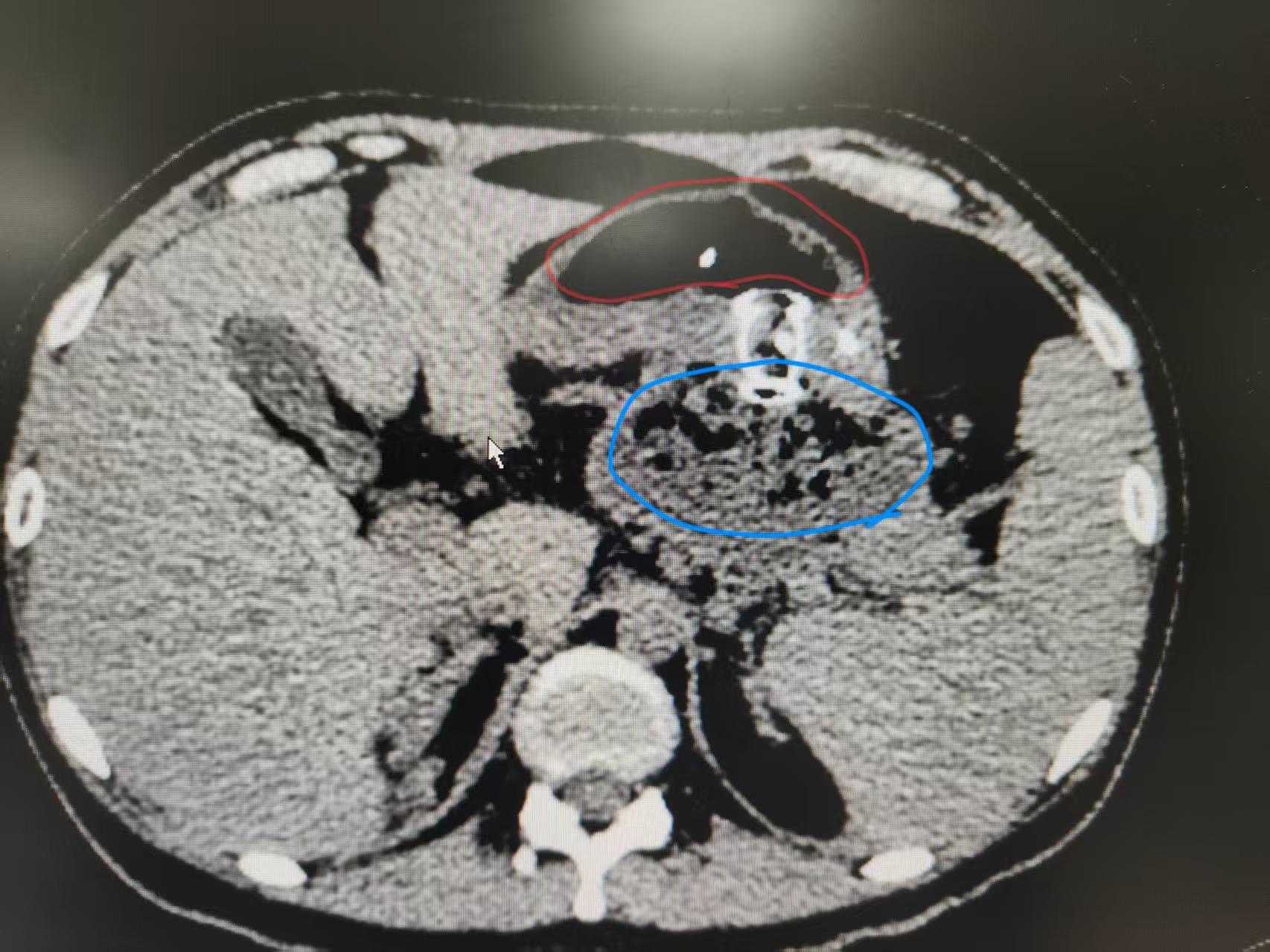
这位患者为20岁男性,因“反复腹痛1月余,再发伴腹胀1天”入院。1月前确诊急性胰腺炎,随后出现腹围增大、呕吐、腹胀等压迫症状。增强CT提示胰周巨大假性囊肿形成,最大截面约13.1×21.0cm,胃及及十二指肠严重受压,无法正常进食。

术前CT(胰腺巨大假性囊肿,胃腔明显受压)
技术破局:微创引流替代传统开腹
患者胰腺假性囊肿巨大,不仅将胃、十二指肠等重要脏器挤压变形,导致腹胀、呕吐等压迫症状,更随时有破裂引发感染、大出血等风险,需尽快治疗。但患者一般情况欠佳,合并糖尿病、贫血等情况,若行传统开腹手术,创伤大、恢复期长、并发症风险高。经超声内镜仔细评估后,发现患者囊腔内坏死组织较多,传统引流方式效果可能不佳。在消化内科主任王显飞教授主持下,经过缜密的MDT多学科讨论,最终决定行EUS引导下微创电切引流支架植入术(HOT AXIOS技术)。该技术融合超声实时定位,精准穿刺囊肿并植入金属支架(LAMS),建立内引流通道,迅速引流囊液,缓解压迫。

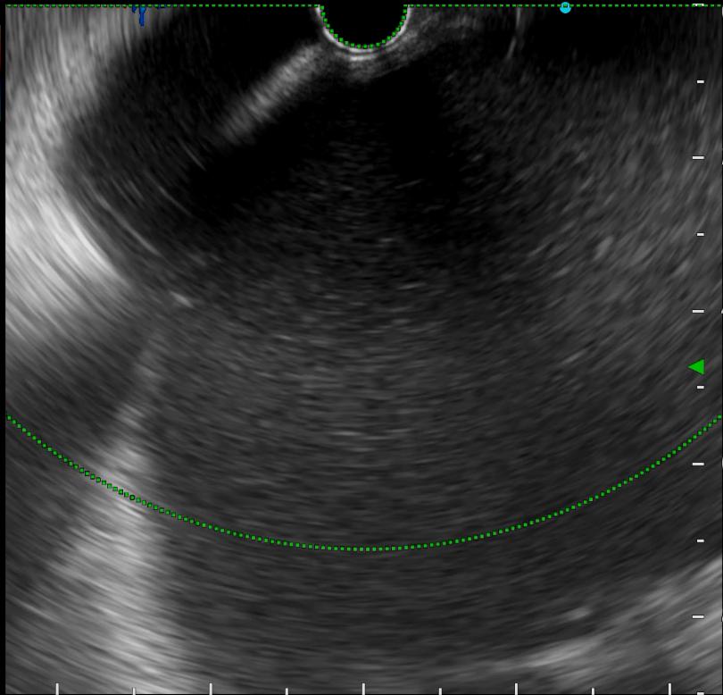
超声胃镜(胰腺巨大假性囊肿,囊腔内较多坏死物)
团队协作:权威指导+精准操作
本次手术在王显飞教授主持下,在四川大学华西医院王瑞教授、四川省人民医院刘卫辉教授专业指导下,由刘娟副教授操作,麻醉科及护理团队紧密配合,成功为患者实施了南充首例“EUS引导下胰腺假性囊肿穿刺引流术”,置入LAMS支架,可见囊肿内大量褐色浑浊液体流入胃腔,整个穿刺释放支架过程仅用时10分钟左右。

刘娟副教授在超声胃镜引导下进行囊肿穿刺

超声胃镜引导下支架释放

大量褐色浑浊囊液经支架迅速涌出
术后效果:立竿见影,快速康复
术后患者腹围迅速减小,腹胀、呕吐等症状快速缓解,逐渐恢复饮食,目前恢复良好。

术后CT(假性囊肿明显缩小,支架位置良好)
技术科普:EUS引流优势
胰腺假性囊肿(PPC)及包裹性坏死(WON)可见于急性胰腺炎后期,可引起一系列症状:腹痛、腹胀、呕吐、发热、压迫胃肠道导致无法进食等,严重威胁患者健康。可通过外科手术、经皮穿刺置管引流(外引流)、EUS引导下穿刺引流(内引流)等方式治疗。EUS引导下的穿刺引流术为PPC/WON的首选治疗方法,相较于传统外科手术方式,EUS引导下穿刺引流具有操作时间短、手术创伤小、并发症发生率低、术后恢复快、效果良好等优势,是当前治疗胰腺假性囊肿的首选微创方案,真正实现“以最小创伤解决最大问题”。
科室特色:深耕内镜,持续创新
我院消化内科长期致力于内镜技术创新,已常规开展ESD、ERCP、EUS、ERAT、POEM、粪菌移植等前沿技术。此次EUS引导下胰腺假性囊肿引流术的成功开展,标志着我院内镜技术的又一重大突破!
作者:肖春桃 图片:凌颖 审核:王显飞 文章来源:消化内科