生命“主干道”上的巅峰护航——我院心脏大血管外科成功完成首例高难度胸腹主动脉置换术
近日,我院心脏大血管外科领衔多学科团队,历经12小时高强度奋战,成功救治了一名胸腹主动脉瘤破裂的危重患者,顺利完成医院首例“胸腹主动脉替换+双侧髂动脉替换术”。

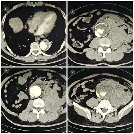
11月15日凌晨1时许,该患者因突发腰背部剧烈疼痛到我院紧急就诊。据了解,该患者10年前曾因胸主动脉夹层接受胸主动脉腔内修复术,院外增强CT检查提示胸腹主动脉瘤,病变最危险部位的血管直径已扩张至7.5cm,且血液正持续从破口渗出,这颗藏于患者体内的“不定时炸弹”一旦彻底破裂,将引发致命性大出血,患者生命危在旦夕。

面对挑战,赖应龙教授团队邀请首都医科大学朱俊明教授团队胡海瓯教授,联合我院麻醉科、手术中心、体外循环及重症监护团队参与救治,并进行了详尽的术前模拟与预案推演,为患者量身定制了周密的手术方案。在12个小时的紧张手术中,多学科团队采用了顶尖的“深低温停循环”技术,为精细操作创造了宝贵的时间窗口,病变的主动脉被成功替换为人工血管,所有重要分支血管均实现精准吻合。术后,患者生命体征平稳转入该科重症监护室进一步治疗,经过10余天的精准救治与精心护理,患者饮食睡眠、肝功能、肾功能、心脏功能及凝血功能显著好转,顺利出院。

胸腹主动脉瘤破裂属于致死率极高的急症,而胸腹主动脉联合替换+双侧髂动脉替换术因需同时处理胸、腹、髂三段血管,涉及多器官供血保护、复杂血管吻合与大出血防控,对医疗团队的技术精度、应急能力和多学科协作水平要求近乎苛刻,素有外科领域“珠穆朗玛峰”之称。此次手术的成功突破,彰显了科室在高难度复杂手术中的硬核实力与综合诊疗水平。
赖应龙教授表示,川北医学院附属医院心脏大血管外科团队将始终坚守医者初心,在攀登医学高峰的道路上永不停歇,用更专业的救治、更贴心的服务,为每一位患者带去生的希望,为群众筑牢健康防线。
作者:向朝虎 图片:向朝虎 审核:赖应龙 文章来源:心脏大血管外科