消化内镜中心超声内镜(EUS)科普
超声内镜(EUS)超声内镜,是将内镜和超声相结合的消化道检查技术。该技术将微型高频超声探头安置在内镜顶端或将超声微探头通钳道置入普通内镜,当内镜插入消化道后,在内镜下直接观察消化道病变的同时,利用内镜下的超声行实时扫描消化道壁结构及周围组织结构。超声内镜优势超声内镜可以获得胃肠道的层次结构的组织学特征,及周围邻近脏器的超声图像,对消化道病变性质进行鉴别诊断,判断其侵袭深度和范围,鉴别病变的良恶性。同时超声内镜有较高的敏感性,诊断胆胰疾病的准确率>95%,相比于CT、MRI、MRCP有独特优势,特别适合小病变的发现,如胰腺、壶腹部 <1cm、胆总管<0.5mm的病变。近年来,超声内镜已成为发现胆胰疾病患者首选的诊断方法。同时,超声内镜还能引导深层次组织脏器的穿刺活检,甚至通过穿刺、引流、注射及粒子种植等方法对胆胰疾病进行治疗。
超声内镜探头直接贴近病灶进行超声检查
超声微探头通过钳道对病灶进行超声检查超声内镜的应用1、消化道黏膜下病变的诊断
通常消化道可以分为5层,从内到外依次为粘膜层、粘膜肌层、粘膜下层、固有肌层、浆膜层。由于胃镜和肠镜是肉眼可见光成像,只能看到消化道最表面的一层(粘膜层)。然而有些病变来源于粘膜下,此时普通胃肠镜就不能透过粘膜对粘膜下的病变做出诊断;还有些病变位于胃腔外紧贴胃壁,普通胃肠镜更是难以诊断。超声内镜将内镜和超声的功能结合在一起,能更好地对粘膜下结构或病变进行观察和判断
。

胃体粘膜下脂肪瘤
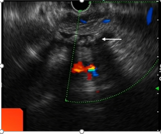
2、消化道肿瘤的分期将探头放置在肿瘤表面进行扫描,可以判断肿瘤浸润的深度、范围、及与周围邻近器官的关系,并判断周围血管和淋巴结侵犯情况,为治疗方案的制定提供依据。
食管癌分期3、胃肠道淋巴瘤的诊断胃肠道淋巴瘤侵犯的层次常常较为深在,超声内镜可以观察病灶处层次,测量受累管壁的厚度,指导深挖活检取材的部位,并观察周围淋巴结的情况。
胃体淋巴瘤超声内镜检查并深挖活检4、胰腺疾病的诊断超声内镜扫查胰腺实质,可以发现B超和CT无法发现的微小病变,还可以对病灶部位进行超声内镜引导下细针穿刺活检(EUS-FNA)。除了肿瘤本身,对周围淋巴结、器官的扫描可以辅助疾病分期。
胰腺占位EUS-FNA
5、肝脏、胆管及十二指肠壶腹部病变的诊断对于存在梗阻性黄疸的患者,沿胆管走行扫查可以精确定位梗阻位置,通过观察梗阻部位病变的形态及回声特点,判断病因是结石、肿瘤或者其他疾病,并明确周围组织器官受累情况。
壶腹部肿瘤致胆胰管扩张
胆总管下段结石
6、纵隔病变的诊断通过经食道的超声内镜进行纵膈扫查,观察病变回声情况及与周围组织器官的关系,对病灶部位进行超声内镜引导下细针穿刺活检,送病理检查明确诊断。

纵隔肿大淋巴结
7、微创治疗
随着内镜器械的发展,胰腺假性囊肿及脓肿可以在超声内镜引导下放置引流管、支架进行内引流,或通过超声内镜引导向囊腔内注射药物治疗等等。
超声内镜引导下胰腺假性囊肿引流超声内镜检查适应症1. 消化道可疑癌变的诊断,判断浸润深度;2. 粘膜下肿瘤的诊断:如平滑肌瘤、间质瘤、脂肪瘤等;3. 消化道恶性肿瘤侵犯深度,转移情况,进行分期4. 对溃疡性病变的鉴别诊断;5. 对胰腺疾病的诊断;如慢性胰腺炎、胰腺肿瘤等;6. 胆道系统疾病,如胆总管结石、胆道肿瘤;7. 食管胃底静脉曲张程度和栓塞治疗效果8. 纵隔病变的诊断绝对禁忌症1. 严重心肺疾患,无法耐受内镜检查2. 精神病患者或严重智力障碍而不能配合内镜检查者3. 上消化道大出血处于休克等危重状态者4. 怀疑消化道穿孔患者5. 腐蚀性食管炎、胃炎的急性期患者6. 明显的胸腹主动脉瘤患者7. 脑卒中急性期患者相对禁忌症1. 心肺功能不全2. 高血压患者,血压未得到控制3. 凝血机制障碍及出血倾向患者4. 高度脊柱畸形5. 巨大食管憩室、重度食管静脉曲张者检查过程1. 患者需空腹6~8h以上,检查前一天晚饭摄入少渣易消化的食物。2. 上消化道检查者需要含服利多卡因胶浆局部麻醉及润滑,下消化道检查者需服用肠道清洁药物进行肠道准备。3. 超声内镜检查时通常患者体位同普通内镜检查体位。4. 超声内镜插入消化道后,对胃肠道黏膜下病变、肿瘤及邻近脏器进行扫描检查。检查后注意事项普通超声内镜检查后没有特殊注意事项,一般仅要求术后2h内禁食、禁饮即可。如果进行了超声内镜引导下细针穿刺活检或是其他超声内镜下治疗,需要根据医生的术后医嘱进行观察和处置。
微信公众号