消化内镜中心食管胃静脉曲张破裂出血治疗科普
食管胃静脉曲张破裂出血(esophagogastric variceal bleeding,EVB)具有发病迅速、病死率高的特点。内镜下食管胃底静脉曲张治疗术是经内镜用套扎方法或药物治疗食管胃底静脉曲张的方法。目前内镜下治疗主要包括内镜下食管静脉曲张套扎术( endoscopic variceal ligation,EVL)与内镜下食管胃底静脉曲张硬化术( endoscopic injection sclerotherapy,EIS)。





内镜下食管静脉曲张套扎术简称EVL,是一种安全有效的治疗食管静脉曲张破裂出血以及预防出血的方法。EVL具有操作简便、创伤小、安全性高,疗效确切、可重复进行的优点。
术前准备:1.评估麻醉风险、与患者和/或家属交待相关麻醉及套扎风险,签署知情同意书;2.胃肠道准备:麻醉前禁食6小时、禁水2小时;急诊手术禁食、禁水后应尽快手术。3.术前检查:完善血常规、凝血、输血免疫、肝肾功等检查。4.停用药物:停止使用影响凝血的药物(阿司匹林、肝素、华法林等)。
适应症:1.急性食管静脉曲张破裂出血和内科药物止血无效者,食管静脉曲张反复出血;2.全身状况欠佳,不能耐受外科手术者;3.食管静脉曲张出血后的择期预防治疗。
禁忌症:严重心肺疾病、肝肾功能障碍、严重凝血功能障碍、休克、昏迷、上消化道急性穿孔、严重或急性咽喉疾病、食管及胃的重度急性炎症及无法配合或耐受者。
术后注意事项:1.需要注意保持情绪稳定,绝对卧床休息72小时,床头可适当抬高,一周后可下床适当活动,避免剧烈运动及增加腹压动作。2.术后静脉补充营养及支持治疗,需要禁食24个小时,观察无出血者可以饮用凉开水,逐步进食米汤、粥、烂面条等易消化的无渣饮食。进食时细嚼慢咽,避免进食坚硬、粗糙、辛辣、粗纤维食物,戒烟酒。3.出院后患者需要保持良好心态,做好自身饮食管理,注意观察排便情况,如发现呕血、便血、黑便、头晕、心慌、出冷汗等情况需要及时就诊。
内镜下硬化术(EIS)是通过内镜下注射硬化剂和/或组织胶治疗急性食管胃底静脉曲张破裂出血及预防再出血的方法。
术前准备:1.麻醉前风险评估,向患者及家属讲解治疗的必要性以及可能的并发症,介绍操作过程,取得患者及家属同意,并签署知情同意书。2.术前至少禁食禁饮6h,检查血常规,术前凝血及心电图等,查阅既往内镜检查资料。
适应症:1.食管静脉曲张破裂出血,有出血史者预防再次出血,或重度食管静脉曲张无出血史者预防初次出血。2.胃底静脉曲张破裂出血。
禁忌证:1.有上消化道内镜检查禁忌证者;2.意识障碍及出血性休克未纠正者;3.伴有严重心、肺、肝、肾、凝血功能障碍,大量腹水者。
术后注意事项:1.饮食管理:过早进食有诱发食管胃底静脉曲张破裂出血的危险;术后应严格禁食24h,经静脉通道补充电解质及营养液等,若无胸骨后疼痛、上腹部疼痛、呕血和便血等并发症可进食温冷流食,2~3d后改为半流食,高热量、高维生素、 高营养易消化食物,避免进食坚硬和酸辣刺激性食物。2.术后常见不适:①疼痛:术后安静卧床休息,可抬高床头,疼痛难以忍受时可肌注哌替啶或吗啡;②呃逆:系神经中枢或膈肌受到刺激,可予以压迫眶上神经或适当镇静、促动力治疗等缓解;③发热:术后需短期预防性使用抗生素,部分患者术后出现轻度发热,体温一般在38℃以下,3-5天内恢复正常,持续发热且体温不断升高,需要考虑感染。3.严密观察有无消化道出血、穿孔、败血症及异位栓塞等并发症征象,如有不适,及时就诊。
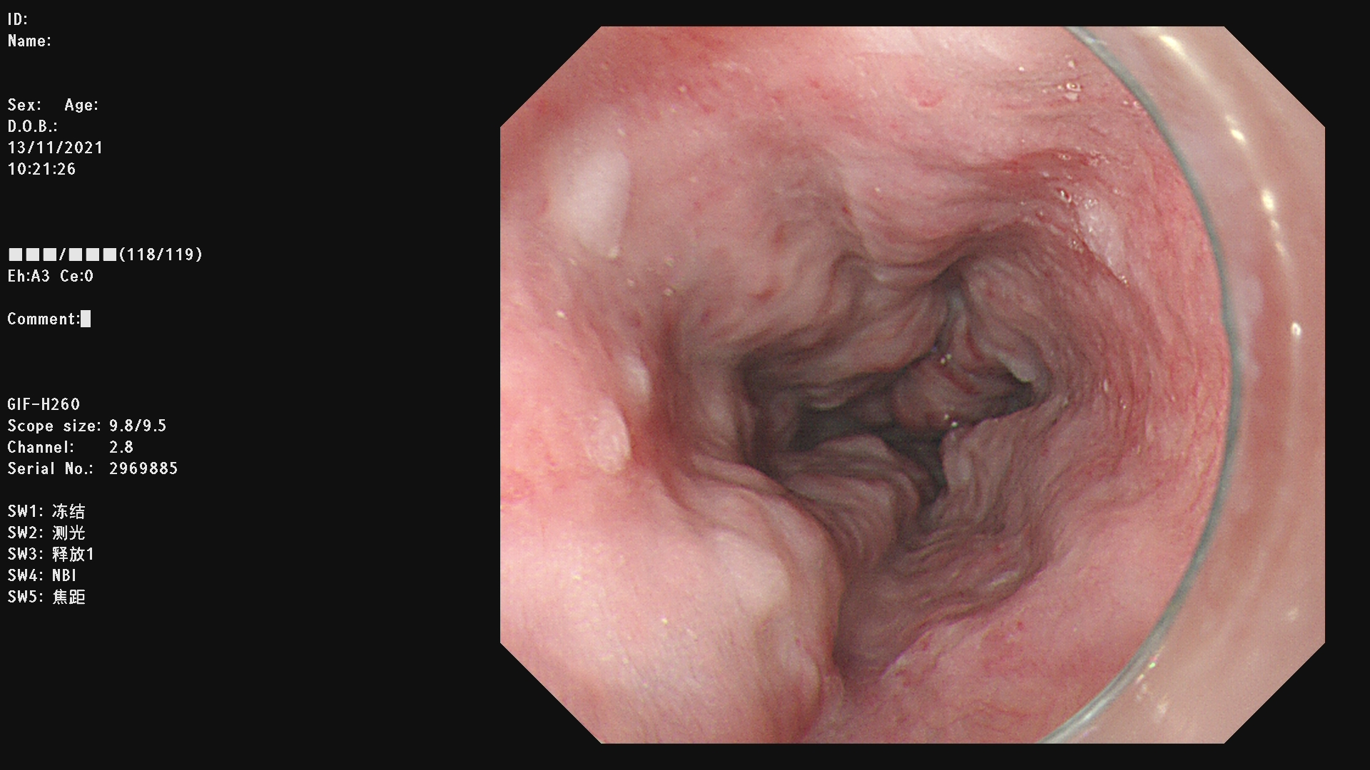
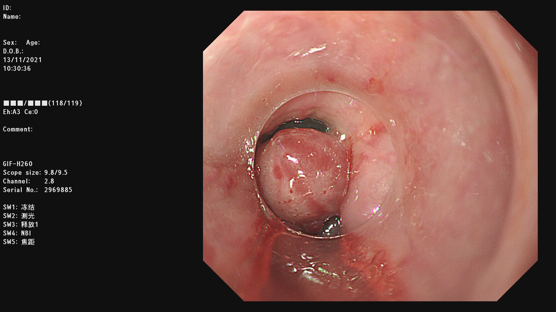
例一 :





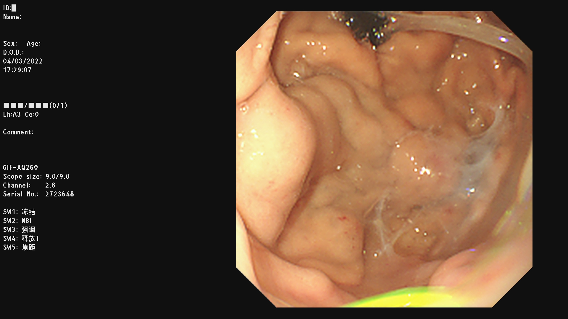
例二:




微信公众号